


セラミック治療とは、歯にセラミックをかぶせることにより、歯の形、歯並び、歯の色などをキレイにする治療法です。






大阪神戸審美歯科グループの
セラミック治療が美しい理由はコレ!













まずは、セラミック治療で
気になることを
お気軽に聞いてください。
十分お時間を取り、
親切丁寧に
ご説明させて頂きます。
初診料も無料です。
レントゲン代も、検査の費用もいただきません。

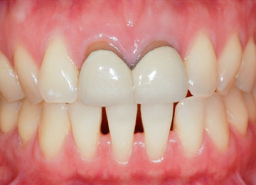
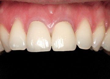
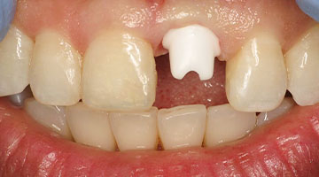
前歯を1〜2本セラミックにした方(30代女性と20代女性)
《 Dr.からの一言 》
大きい虫歯を治療した後で、セラミックをかぶせて治しました。

歯がガタガタの方@(30代女性)
《 Dr.からの一言 》
ガタガタになってる歯にセラミックをかぶせて治しました。
その他の歯がガタガタで気になる方の症例はこちら
歯がガタガタで気になる方A(30代女性)
《 Dr.からの一言 》
歯がガタガタなのと、歯の色を気にされてましたが、セラミック治療でお悩みを解決されました。
すきっ歯の方@(20代女性)
その他のすきっ歯の方の症例はこちら
八重歯の方@(20代女性)
《 Dr.からの一言 》
八重歯と、歯の形で悩んでおられ、大きな口でしゃべれないとのことでしたが、セラミック治療でお悩みを解決されました。
八重歯の方A(30代男性)
前歯を自然な白い歯にしたい方@(40代女性)
その他の前歯を自然な白い歯にしたい方はこちら
前歯を自然な白い歯にしたい方A(30代女性)
《 Dr.からの一言 》
全体的に歯の色が黄色っぽいことで悩んでおられましたが、セラミックをかぶせることでお悩みを解消されました。
前歯を自然な白い歯にしたいB(20代女性)
前歯を自然な白い歯にしたいB
(30代女性)
差し歯の色が変わった方@(30代女性)
《 Dr.からの一言 》
差し歯の付け根が黒ずみと差し歯自体の変色を気にされていましたが、セラミック治療でお悩みを解決されました。
その他の差し歯の色が変わった方はこちら
差し歯の色が変わった方A(30代男性)
差し歯の色が変わった方B
差し歯の色が変わった方C
銀歯を白い歯に変えたい方(30代女性)
《 Dr.からの一言 》
お口を開けた時に銀歯が見えるのを気されていましたが、銀歯を取り外して白い歯に変え、お悩みを解決されました。
すべての治療方法・費用・リスクはこちら
【治療内容】セラミックで被せる治療をしました。
【費用】セレッククラウン1本が69,800円(税抜)です
【リスク】神経のある歯を削って被せましたので、確率的には1割弱ですが削った後に痛みが出ることもあります。
※症例紹介の費用は掲載時点の金額です。治療費用は改定される場合がありますので、最新の料金はお問い合わせください。


セラミックの実績が12,200人以上あるので
確実に安心できます。
1989年から12,200人以上のセラミックの実績があり、セラミック治療が上手なドクターがあなたに合った美しいセラミックをご提供します。
さらに、当院のセラミックはベテランのセラミストが作っていることも安心です。

自然の歯のような
美しい仕上がりの質感です


セラミックは人工物ですが、見た目は自然の歯よりもキレイです。黄ばんだり変色する可能性もありません。また、歯の形や大きさ、長さ、横幅(たて横の比率)にもこだわり、最高の歯をお入れします。

無料初診カウンセリング
あなたのご希望、不安な点、お悩みなどすごく丁寧にお聴きします。そして、必ずあなたに合った治療法をご提案します。
当院では、あなたのご希望をかなえ、最大限の美しさを出すために、カウンセリングを大変重要に考えています。

無痛治療を心がけております。
麻酔の刺し方を痛点の無い位置から行うことで、刺す痛みを無くしたり、麻酔薬を体温くらいに温めて、麻酔薬の注入の痛みを感じさせないようにしたり、あらゆる無痛治療を行っています。

短期間で前歯がキレイになります
当院は実績豊富なため、治療の質を落とさずに敏速に治療いたします。
患者様に通院の手間をお掛けしないよう、通院回数が少なく、短期間で治療が済むよう心がけています。


セラミックだけでなく、
矯正治療をすることも可能です。
セラミックか矯正治療か迷う方もおられると思います。患者様にはそれぞれのメリット・デメリットをご説明してから治療を行います。もし、矯正治療の方が良いとなった場合でも、当院は矯正歯科の実績が非常に豊富なので、安心してお任せください。
ワイヤー治療や、マウスピース矯正(インビザラインなど)を行っています。

治療中もキレイな仮歯を
ご用意しています。
いくら最終的にきれいな歯が入ったとしても、治療途中がきれいでない状態はよくありません。
当グループでは治療中も必ず仮歯をお入れして、患者さんのQOLが下がらないように十分な配慮をしております。

インフォームドコンセント(説明と同意)を徹底しています。
これは当たり前のこととも言えますが、治療に際してはとことんご説明させていただきます。
メリットばかりではなく、デメリットもきちんとご説明してから治療に入るようにしております。
患者さまには十分に納得いただくことで、安心してお任せしていただけるように。当院の配慮です。

金属アレルギーの方も、
安心して治療していただけます。
当グループの技術では完全な金属なし(メタルフリー)の治療ができます。
従来は難しかったブリッジタイプのかぶせ物でも、メタルフリーで治療できますので、金属アレルギーの方も安心して施術を受けていただけます。

キレイになった後も安心の3年間保証制度があります。
審美治療が終わってから、かぶせ物の破損に関して3年間の保証期間を設けております。(ただし、定期健診に応じていただけない方は歯ぐきや骨の状態が変化することがありますので対象外となります。)

美しい歯を長持ちさせるために処置後も、
充実したメンテナンスをご提供しています。
審美歯科治療が終わったあと、その歯を健康にキープするためには歯周病にならないことが大事です。
基本的に歯周病にならなければ、歯はずっと持ちますので定期的なメンテナンスが重要となります。
当グループでは、一度治療をしたら終わりではなく、患者様の健康が一生涯保てるように努力しております。

※保険が適用されない自由診療です
※価格は税別です
デンタルローンにより最大120回まで※ の分割払いに対応したプランです。
金利手数料は実質年率3.6%※とお安く設定されております。金利3.6%という低い利率は日本の歯科医院で当院だけです。(理由は、当院は症例数がずば抜けて多いため、ローン会社が特別に当院用に設定してくれたからです)
当院独自ではありませんが、当然各種クレジットカードもご利用いただけます。
![]()



矯正治療と比べた時のメリット・デメリットをご説明します。
矯正治療と比べた時のメリットはこちら
矯正治療と比べた時のメリット
1
歯自体の形や色がキレイになる
(矯正治療は、歯並びはキレイになるが、歯自体の形、色は変わらない)

2
短期間でできる
短期間でできるので、通院が苦手な方、急いでる方にはメリット
(矯正治療より、期間も治療回数も少ない)
3
矯正よりも安価になることが多い
矯正治療より、安価になる場合が多い
(注意:矯正治療も部分矯正の場合、安くなることもある)
矯正治療と比べた時のデメリットはこちら
矯正治療と比べた時のデメリット
1
歯を削らないといけない
(歯を削った後、もし歯に痛みが出れば神経を取らないといけない。ただ、痛みが出る確率は低い)

2
歯を抜く場合もある
歯を抜かないといけない場合もある
(歯の重なりがひどい場合は、かぶせるだけではできない為)

3
骨格は変わらない
極端な出っ歯、受け口の方の場合、セラミック治療は歯を引っ込めることはできるが、骨格は変わらない為、矯正治療の方が良いこともある。

▲ 骨格性の出っ歯の方

▲ 骨格性の受け口の方
4
歯茎の位置自体は変わらない
(矯正治療の場合は、歯を動かすと歯茎の位置も動いてキレイになる)

▲ 八重歯の歯茎の位置が高い
どちらも、メリット・デメリットがあります。どちらを選ぶかは、時間、費用、見た目だけでなく、他にも健康面など色んなことが関わってきます。具体的にご案内します。
1.全体が出っ歯の場合

かぶせて治す場合
歯を削ってセラミックの歯をかぶせて治したとしても、出っ歯の歯の向きが変わるだけです。
向きが変わるだけで良いという方には良いかもしれませんが、お顔の骨格自体が後ろに引っ込むことはありません。
クラウンと呼ばれるかぶせものもオールセラミックなど材料が様々です。どれを選ばれるかにより歯肉との境目に金属が見えてしまったり、見た目も変わってまいります。
ですので、ワイヤー矯正などに比べると凄くキレイにはならないのです。さらに、大事な歯の神経も取らなければいけません。ただ、治療期間は短いです。メリット、デメリットをまとめます。
メリット
デメリット
矯正治療で治す場合
メリット
デメリット
【結論】全体的に出っ歯の方には、かぶせて治す方法はオススメできません。
2.前歯1本または、2本が出っ歯の場合
1本から2本くらいが出っ歯の方の場合は大きく2つの治療法があります。
出てる歯の軸の方向を引っ込める様に変えてから、かぶせる方法。

メリット
デメリット
出てる歯だけを抜いてかぶせる方法
その場合は、その抜いた歯の両サイドの歯を削ってかぶせて3本つなぎのブリッジという歯を入れ、抜いたすき間を埋めます。

この場合に、ブリッジによる治療ではなく矯正でする場合は、左右の小臼歯という歯を2本抜いてすき間を作り、そのすき間を使って出っ歯を引っ込めます。

当院では、セラミック治療で治した方が良いのか、
矯正治療で治した方が良いのか、
患者さんごとに違うので、
わかりやすく丁寧にご説明します。
歯のセラミック治療に関するご質問・お悩みなど、どんな小さなことでも丁寧にお答えしますので、お気軽にご相談くださいね。

まつもと歯科 院長
山口 聡哉

クローバー歯科クリニック豊中駅前院 院長
松本 康裕

なんばクローバー歯科 院長
共田 京太
国立 長崎大学歯学部卒業

カトレア歯科・美容クリニック 院長
辻 和志

梅田茶屋町クローバー歯科 院長
竹田 亮

梅田クローバー歯科アネックス 院長
宮本 安智

梅田クローバー歯科クリニック 院長
久野 喬

心斎橋クローバー歯科 院長
山田 秀史
松本歯科大学卒業 松本歯科大学大学院卒業

クローバー歯科
あべの天王寺院
院長
永井 伸人
国立徳島大学歯学部卒業

三宮クローバー歯科クリニック 院長
坂野 弘子

クローバー歯科クリニック神戸マルイ院 院長
今福 京

クローバー歯科豊中駅前アネックス 院長
中西 洋介

クローバー歯科クリニック豊中本町院 院長
金子 浩康

高槻クローバー歯科 院長
野 祐

茨木クローバー歯科 院長
清水 博行

西宮クローバー歯科 院長
廣石 勝也

京橋クローバー歯科 院長
小山 泰志

医療法人真摯会 総院長
矯正歯科認定医・医学博士
松本 正洋
当院には大阪・兵庫に医院があります。
お電話かネットからご予約ください。
当院は梅田に4医院ございます。
カトレア歯科・美容クリニック
(クローバー歯科クリニックイーマ院)
大阪府大阪市北区梅田1-12-6 E-ma(イーマ)6階
歯科Tel.診療時間
月〜土
9:00〜13:00/14:00〜20:00
休診日:日・祝




クローバー歯科・矯正歯科
あべの天王寺院
大阪府大阪市阿倍野区阿倍野筋1-2-30 あべのHoop4F
診療時間
月〜日
9:00〜13:00/14:00〜20:00
休診日:祝日のみ

クローバー歯科クリニック
豊中駅前院
大阪府豊中市玉井町1-1-1 エトレ豊中3F
診療時間
月〜土
9:00〜13:00/14:00〜20:00
休診日:日・祝

クローバー歯科
豊中駅前アネックス
大阪府豊中市玉井町1-1-1 エトレ豊中4F
診療時間
月〜土
9:00〜13:00/14:00〜20:00
休診日:日・祝





Copyright(c) 大阪神戸審美歯科グループ All Rights Reserved.
禁無断転載このホームページに掲載の内容・写真の無断転載を禁じます。すべての内容は日本の著作権法により保護されています。今までに当ホームページを無断で転載された例があります。その場合は厳重に対処させていただきます。